Consiste in una angolazione a vertice esterno dell’asse femoro-tibiale, che realizza, se bilaterale, la tipica deformità “a O” o “a parentesi” (fig 1).
- Fig. 1: ginocchia vare
Il varismo può essere femorale, tibiale o misto. Quando è tibiale si accompagna spesso ad un certo grado di intratorsione. La valutazione clinica può essere fatta misurando, con il paziente dapprima supino e poi in piedi, la distanza massima fra le superfici interne dei due condili femorali o tibiali (DIC = distanza inter condilica, fig 2).
- Fig. 2A: ginocchia vare
- Fig. 2B: valutazione clinica del varismo
E’ opportuno premettere che un certo grado di varismo-intratorsione tibiale, che potremmo definire fisiologico, è presente alla nascita e persiste fino a 1-2 anni (fig 3).
- Fig. 3: A) Mesi 20, ginocchia vare fisiologiche. B) Stesso paziente all’età di 3 anni con le ginocchia in asse.
Nei soggetti pesanti che camminano precocemente tale varismo può essere piuttosto accentuato e fonte di preoccupazione per l’ambiente familiare, anche se ad evoluzione spontaneamente favorevole in uno o due anni. Altra forma di varismo da considerare è quella detta anche varismo da mal rotazione (fig 4).

Fig. 4: varismo da malrotazione
Si tratta di pazienti portati a consultazione in genere fra i 6 e i 12 anni, che presentano un difetto di torsione degli arti inferiori quasi sempre associato ad esagerata antiversione del collo femorale. Quando vengono osservati di fronte, con il bordo interno dei piedi accostato, le rotule guardano all’interno – “strabismo rotuleo convergente”, le ginocchia sembrano vare e la testa del perone sporge più del normale. Se il bambino viene posto con le rotule frontali, le punte dei piedi divergono ed il varismo, se apparente svanirà del tutto, o si attenuerà solo in parte (fig 4). In questi casi, per una corretta valutazione, è opportuno eseguire delle radiografie panoramiche degli arti inferiori in ortostasi, sia con i piedi accostati (rotule convergenti) sia con i piedi extra ruotati di circa 30° (rotule frontali), in modo da misurare l’asse meccanico e poter capire se vi sono indicazioni chirurgiche.
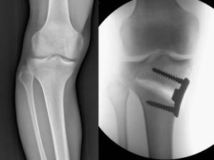
La componente di varismo, se presente, in questo caso si parla di varismo idiopatico (fig 5 AB), può essere ridotta con interventi di modulazione della crescita mediante applicazione di 8-plates sul versante esterno della cartilagine di accrescimento della tibia prossimale (fig 5 CD-EF).
Fig. 5: anni 11 e 8/12, tibia vara costituzionale con componente torsionale. DIC: 6 cm con rotule allo zenith (A), DIC: 5 cm con piedi extra ruotati di 30° (B); in pratica il varismo persiste anche con gli arti in extrarotazione. C) Quadro radiografico. D) La componente di varismo può essere migliorata con interventi di modulazione della crescita, mediante applicazione di piccole placche a forma di “8” in corrispondenza della parte laterale della cartilagine di accrescimento della tibia prossimale. E-F) In quest’immagine è possibile confrontare l’aspetto della ginocchia prima dell’operazione (E) e dopo 2 anni dall’intervento chirurgico di epifisiodesi asimmetrica tibiale esterna (F). L’asse meccanico delle ginocchia è migliorato, persiste invariata l’alterazione torsionale.
A fine accrescimento si possono eseguire interventi di osteotomia (fig 6 AB-CD).
Fig. 6: A-B) Anni 16, varismo idiopatico. Aspetto clinico e radiografico a fine crescita. C-D) Esempio di osteotomia correttiva mediante placca.
Oltre alle forme idiopatiche di varismo ne esistono anche di secondarie. Nel varismo rachitico frustro (fig 7) il dato anamnestico di disturbi alimentari cronici, di diete particolari (prive di latte e derivati) ed il rilievo clinico di sfumate stigmate rachitiche (fronte prominente, ipotonia degli addominali, svasatura del torace, etc.) potranno orientare il giudizio diagnostico e consigliare qualche aggiustamento terapeutico.
- Fig. 7: varismo rachitico frustro
- Fig. 8: rachitismo carenziale florido
Di fronte ad un caso eclatante di rachitismo carenziale florido (fig 8), non vi possono essere dubbi diagnostici, per l’evidenza dei segni clinici e le tipiche alterazioni radiografiche (deformazioni “a pagoda” delle metafisi femorali e tibiali, aspetto sfumato ed irregolare delle cartilagini coniugali, etc.) oltre che per la positività dei dati bioumorali. Tutte queste forme di varismo, che potremmo definire “benigne”, come pure le stesse forme rachitiche (se ben trattate) non hanno quasi mai indicazione chirurgica, almeno in fase iniziale, in quanto destinate all’autocorrezione in un periodo di tempo variabile dai due ai sei-sette anni. Oltre al supporto di calcio e vitamina D, dal punto di vista strettamente ortopedico è consigliabile l’uso di calzature predisposte, alte e un po’ sostenute, con un piano inclinato esterno sulla suola in modo da sollecitare le ginocchia in valgismo. Le docce correttive notturne anti-varo vanno usate solo in casi selezionati.
A fronte di varismi “benigni” ad evoluzione favorevole, ve ne sono altri destinati quasi costantemente alla soluzione chirurgica anche in età precoce. Essi sono il varismo da rachitismo vitamino-D-resistente e il morbo di Blount.
- Fig. 9: rachitismo vit. D resistente
Rachitismo vitamino-D resistente (fig 9). La diagnosi si basa sulla gravità dell’aspetto clinico, sulla asimmetria della deformità (a volte un ginocchio è varo e l’altro è valgo), sulla bassa statura (nanismo disarmonico) e sulla familiarità, pur tenendo presente che esistono casi sporadici. Essa viene confermata da indagini bioumorali. Gli aspetti radiografici sono molto evidenti e caratteristici, riscontrabili anche in altre sedi (coxa vara). Tipico è l’incurvamento delle ossa in sede meta-diafisaria (tibia a sciabola) con componente anche sul piano frontale (procurvazione). La soluzione chirurgica s’impone quasi sempre, ma non deve essere attuata troppo precocemente e fino a quando c’è un miglioramento con la terapia medica. In altre parole si interverrà (epifisiodesi asimmetriche o osteotomie) solo nei casi stabilizzati (fig 10).
- Fig. 10: Rachitismo vit. D resistente. Aspetto radiografico prima e dopo circa 30 mesi dall’intervento di epifisiodesi asimmetrica. E’ evidente il cambiamento dell’asse delle ginocchia ottenuto gradualmente con l’applicazione delle placche a “8” che determinano una crescita guidata degli arti inferiori. L’intervento non richiede alcuna immobilizzazione in gesso e la ripresa del carico è possibile rapidamente secondo tolleranza.
Morbo di Blount. E’ piuttosto raro: un caso ogni 3-4.000 ginocchia vare fra i 2 e i 5 anni. Quando insorge a questa età si parla di Blount infantile (fig 11).
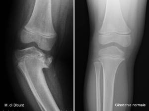
E’ dovuto ad una sofferenza del versante interno della cartilagine di accrescimento prossimale della tibia (osteitis deformans tibiae, fig 12).
- Fig. 11: Blount infantile
- Fig .12: RX morbo di Blount e ginocchio normale
Il femore non è interessato. E’ molto difficile, prima dei due anni, differenziare una tibia vara intraruotata infantile, accentuata ma banale, da un Blount debuttante. Bisogna sospettarlo in caso di unilateralità (anche se la malattia può essere bilaterale), di ostinato ritardo nella correzione spontanea e quando si palpa una sporgenza sulla metafisi tibiale interna. Una radiografia delle ginocchia in antero-posteriore (da eseguirsi ogni qual volta un varismo importante persiste oltre i 3 anni) chiarirà il quadro, mostrando il caratteristico “becco metafisario” (fig 12), l’iposviluppo della porzione mediale dell’epifisi, la sofferenza della cartilagine di accrescimento dello stesso lato. La terapia è chirurgica mediante osteotomia di sollevamento dell’emipiatto tibiale mediale, fig 13-14). Si può dilazionare l’intervento fino ai quattro anni, applicando calzature correttive con piano inclinato laterale, ma non oltre, per non correre il rischio di un progressivo ed irreversibile deterioramento della cartilagine coniugale mediale della tibia, causa di sicura recidiva della deformità.
- Fig. 13: A) Anni 4, morbo di Blount bilaterale. B) Aspetto clinico dopo 2 anni dall’intervento di osteotomia.
- Fig. 14: A) Aspetto radiografico del paziente in fig 13. B) Intervento di osteotomia di sollevamento del piatto tibiale bilaterale. C) Controllo RX dopo 2 anni.
Esiste anche una forma ad insorgenza tardiva detta Blount giovanile (fig 15): anche in questi casi, se la deformità mostra tendenza al peggioramento, occorre eseguire un’osteotomia associata eventualmente ad una epifisiodesi temporanea laterale.














