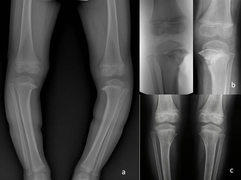
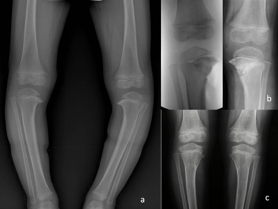
fig 14

Fig. 14: A) Aspetto radiografico del paziente in fig 13. B) Intervento di osteotomia di sollevamento del piatto tibiale bilaterale. C) Controllo RX dopo 2 anni.

Lascia un commento