Gianluigi Di Gennaro
Ortopedia pediatrica
Menu
Vai al contenuto
Home
Chi sono
Per contattarmi
Prenota visita
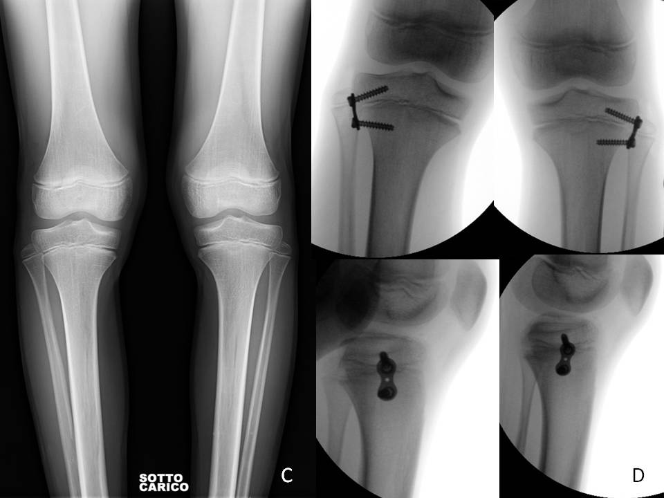
fig 5 C-D
← Precedente
Successivo →
Lascia un commento
Δ
Commenta
Gianluigi Di Gennaro
Registrati
Accedi
Copia shortlink
Segnala questo contenuto
Gestisci gli abbonamenti