
Fig 1: ginocchia a X
Consiste in un eccessivo aumento dell’angolo a vertice interno formato dall’asse del femore e della tibia, le cosiddette ginocchia a X (fig 1). Fino a 3-4 anni il ginocchio valgo può essere considerato fisiologico, in relazione anche con la lassità legamentosa e l’ipotonia muscolare tipiche di questa età. In seguito si verifica spontaneamente una progressiva correzione della deformità, di solito verso i 6-7 anni (fig. 2A-2B).
- Fig. 2: giocchio valgo fisiologico a 3 e a 6 anni

Fig 3.: ginocchio valgo essenziale
In alcuni casi, in genere su base familiare, questa evoluzione favorevole non si verifica e la deformità persiste anche dopo questa età: è il ginocchio valgo vero o essenziale (fig 3).
Alcune volte infine, un importante valgismo compare in epoca prepuberale o puberale (ginocchio valgo dell’adolescente fig 4): esso può insorgere primitivamente o rappresentare l’aggravamento di una preesistente deformità. La valutazione clinica della deformità è basata essenzialmente sulla misurazione della distanza intermalleolare (D.I.M.) che normalmente non eccede i 5 cm nel bambino in piedi e con le ginocchia a giusto contatto (fig 5).
- Fig. 4: ginocchio valgo essenziale
- Fig. 5: misurazione distanza intermalleolare (DIM)

Fig. 6: ginocchio valgo apparente
E’ frequente l’associazione con il piede piatto. L’asse femoro-tibiale non deve essere superiore ai 10°, tenendo conto che 5-7° di valgismo possono essere considerati fisiologici. Spesso il ginocchio valgo è solo apparente, dovuto all’eccesso ponderale che favorisce l’accumulo di grasso a livello delle cosce (fig 6), alla sporgenza dei condili femorali o alla deambulazione in intrarotazione.
L’indagine radiografica è superflua. Solo raramente il ginocchio valgo è sintomatico, espressione cioè di una patologia organica (fig 7). In tal caso appare molto accentuato sin dall’inizio e mostra poca o nulla tendenza a migliorare verso i 4-5 anni.
- Fig. 7: ginocchia valghe in rachitismo carenziale florido. La radiografia del polso con il caratteristico slargamento della metafisi non lascia dubbia sulla diagnosi.
Oltre al rachitismo carenziale può essere dovuto ad una sindrome da lassità legamentosa generalizzata, esempio un Marfan, oppure trattarsi di una osteocondrodisplasia, di un morbo di Ollier (fig 8), di un rachitismo ipofosfatemico (fig 9). Le indagini radiografiche e bioumorali chiariscono il quadro.
- Fig. 8: ginocchio destro valgo in morbo di Ollier
- Fig. 9: rachitismo ipofosfatemico.
Il trattamento del ginocchio valgo “para-fisiologico” dovrebbe essere la completa astensione. A volte tuttavia, specie in presenza di madri particolarmente ansiose, si è costretti a prendere qualche provvedimento “di facciata”, come l’adozione di calzature un po’ sostenute ai lati (mai rigide e munite di ortesi). Decisamente consigliabili attività motorie, di qualsiasi tipo, volte a favorire la riduzione dell’eccesso ponderale e a contrastare la lassità legamentosa.
- Fig. 10: ginocchia valghe accentuate
Nei valgismi essenziali molto accentuati (fig 10) e in quelli sintomatici bisognerà invece adottare, fino ai 6-7 anni, calzature con forti rigidi o semirigidi e speronatura o piano inclinato mediale. Le docce di posizione notturne e le ortesi correttive in genere sono spesso mal tollerate sia dai pazienti che dai genitori. Il trattamento chirurgico è riservato ai valgismi essenziali e sintomatici accentuati che non mostrano tendenza al miglioramento. Ha lo scopo di ripristinare l’asse meccanico del ginocchio e ridistribuire il carico sui due versanti dell’articolazione.
- Figg. 11 A-B-C: intervento di osteotomia
La correzione può essere attuata mediante intervento di osteotomia (fig 11), femorale o tibiale, a seconda della sede della deformità, oppure mediante interventi di modulazione della crescita, epifisiodesi asimmetrica temporanea, mediante applicazione di piccole placche a forma di “8” a cavaliere del versante interno della cartilagine coniugale del femore e/o della tibia (fig 12). Si tratta in questo caso di un intervento più semplice e meno aggressivo, che non richiede alcuna immobilizzazione in apparecchio gessato.
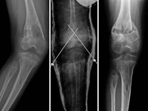
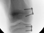
- Fig. 12A: ginocchia valghe in adolescente.
- Fig. 12C: aspetto RX dopo impianto delle placche sul versante mediale della cartilagine coniugale del femore e della tibia.
- Fig. 12B: placca a “8” e viti in titanio.
- Fig. 12D: Ginocchia in asse dopo pochi mesi.











