Gianluigi Di Gennaro
Ortopedia pediatrica
Menu
Vai al contenuto
Home
Chi sono
Per contattarmi
Prenota visita
← Precedente
Successivo →
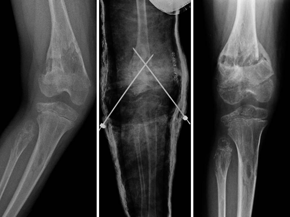
Figg. 11 A-B-C: intervento di osteotomia
Mi piace
Caricamento...
Lascia un commento
Δ
Gianluigi Di Gennaro
Registrati
Accedi
Copia shortlink
Segnala questo contenuto
Gestisci gli abbonamenti
%d