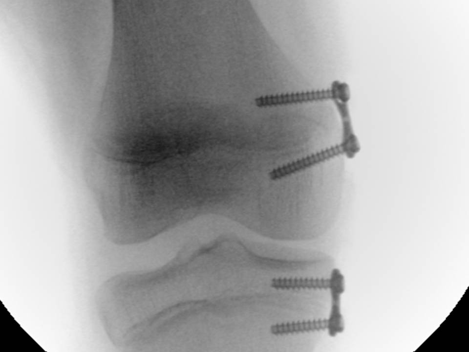
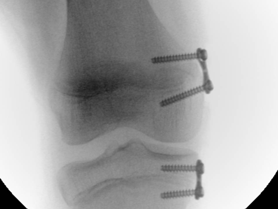
← Precedente Successivo → Fig. 12C: aspetto RX dopo impianto delle placche sul versante mediale della cartilagine coniugale del femore e della tibia. Mi piace Caricamento...